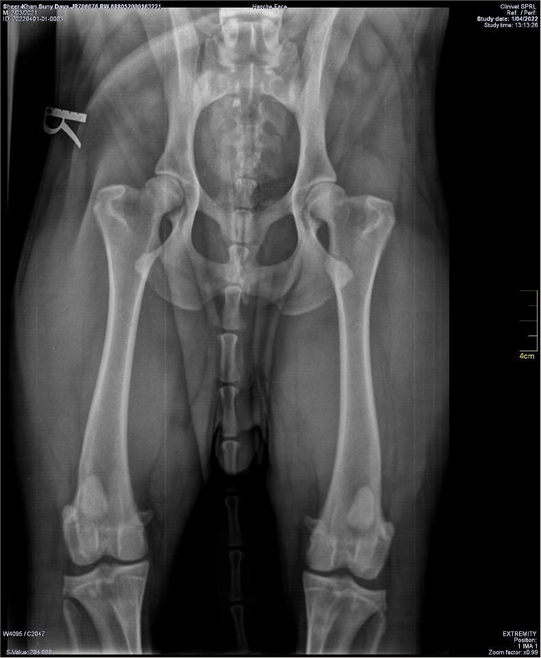
Sheer khan suny day's
mâle
Rottweiler
né le
02/03/2021

HANCHES
COUDES
COUDES
Lecture officielle hanches
Lecture officielle coudes
Informations sur Sheer khan suny day's
| Sexe | Mâle |
| Puce | 688052000163221 |
| Inscrit au LOF ? | LOF |
| N° origine | / |


